Best partials and dentures in town done by a specialist over 30 years of experience in prosthodontics.

All-On-4 Fixed Implants

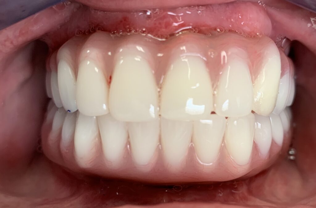
All-On-4 Fixed Implants in Parma, OH

All-On-4 Fixed Implants

The All-on-4 dental implant procedure is a cutting-edge and highly advanced dental solution designed to restore a full arch of teeth using a minimal number of implants. This innovative technique allows patients to regain a natural-looking and fully functional smile with just four strategically placed dental implants per arch. Unlike traditional implant procedures that may require six to eight implants or even more, the All-on-4 approach maximizes the use of available bone, often eliminating the need for bone grafting.

Restore Your Smile in Just One Day

If you are about to lose or have already lost all of your upper and/or lower teeth, the All-on-4 dental implants technique offers a transformative solution. With this advanced procedure, we can provide you with a new set of fixed teeth in as little as one day.

Why Choose All-on-4 Dental Implants?

The All-on-4 dental implant technique is specifically designed to replace an entire arch of missing teeth using only four implants, hence the name “All-on-4.”

This innovative treatment concept was developed to provide edentulous (toothless) patients with an efficient and effective restoration. Using just four strategically placed dental implants, it supports a full-arch prosthesis that can be loaded immediately, providing a new smile in record time.

Who Should Consider All-on-4 Dental Implants?

  • People with several failing or missing teeth.
  • People who require multiple dental implants.
  • People who currently wear dentures and seek a fixed, permanent solution.

The All-on-4 Dental Implants Process

With the All-on-4 procedure, qualified patients receive a minimum of four implants and a full set of new replacement teeth in just one appointment. This groundbreaking approach allows for the placement of permanent, fixed implants while you sleep, enabling patients to leave the same day with non-removable replacement teeth.