Best partials and dentures in town done by a specialist over 30 years of experience in prosthodontics.

Composite Restorations in Parma, OH

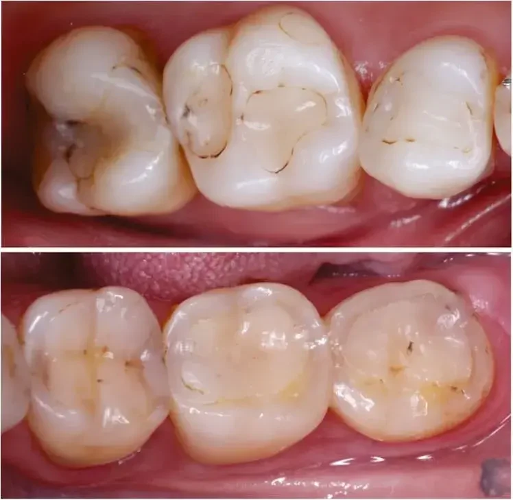
Natural-Looking Repairs for a Healthier Smile

Composite restorations—also known as tooth-colored fillings—are used to repair teeth affected by cavities, chips, or minor damage while maintaining a natural appearance. At Ridge Road Family Dentistry, we use high-quality composite materials that blend seamlessly with your teeth, restoring both strength and beauty.
Unlike traditional silver fillings, composite restorations bond directly to the tooth, providing durable, long-lasting results with minimal removal of natural enamel. The procedure is quick, comfortable, and helps protect your smile from further decay or damage.
Our experienced team focuses on precision and aesthetics, ensuring your restored tooth looks and feels just like new — all done under one roof with care you can trust.