Best partials and dentures in town done by a specialist over 30 years of experience in prosthodontics.

Periodontics

Periodontics in Parma, OH

Ridge Road Family offers a variety of periodontic services designed to provide the highest quality dental care for our patients.

Our periodontics specialize in a range of procedures that help treat gum disease and maintain gum health. Whether you are suffering from any type of gum disease, dealing with a failed implant, or experiencing tooth loss, we are here to help.

If you are facing any of these challenges, we encourage you to get in touch with our office right away. Our team is ready to provide personalized care to address your specific needs.

We invite you to learn more about the services we offer and how we can assist you in achieving optimal oral health.

Other Services

Arestin: Fighting Infection Where It Starts

You may have heard about gum disease, also known as “periodontics” or “periodontal disease.” Maybe a dental professional or hygienist recently told you that you have this infection.

But do you really know the difference between periodontal disease and other complications that can affect your mouth, such as gingivitis?

Do you know why it’s so important to treat periodontal disease – and why brushing and flossing alone won’t do the trick?

Most importantly, did you know that periodontal disease is today’s #1 cause of tooth loss among American adults? Or that, although a causal relationship between periodontal disease and an elevated risk for systemic events has not been established, recent data suggest a possible association between periodontal disease and other health issues, including cardiovascular disease, diabetes, and preterm low birth-weight babies?

Fight infection right where it starts

ARESTIN® (minocycline hydrochloride) Microspheres, 1 mg is an effective antibiotic treatment that comes in powder form. This powder is placed inside infected periodontal pockets just after the dental professional finishes the scaling and root planing (SRP) procedure.

Maintaining a Bright Smile

Keeping our teeth their whitest is a lot harder than it sounds. With all the coffee, wine, smoking and other foods that have the ability to stain our teeth on a daily basis, even proper maintenance sometimes leaves them a little lackluster.

Why Teeth Whitening?

Teeth whitening is an excellent way to restore the natural color of your teeth or even make them whiter than your natural color if you would like.

Custom Whitening Trays

With this impression, we’ll craft you custom whitening trays that you can use over and over. Finally, you will take the whitening gel and put it in the tray for a short period of time over a period of a few days. This often results in a whiter smile of 4 – 8 shades!

Bone Grafting

Bone grafting is where the jawbone is built up to accommodate a dental implant or other restorative device. Bone grafting is a common procedure that is used frequently for dental implants and other periodontal procedures.

The bone used to graft is taken from a sample from the patient. Many times, the bone is taken from another area of the mouth when drilling takes place. The bone fragments are suctioned from the mouth and used for the graft.

Cadaver bone fragments are also used. They are harvested by bone banks and are a very safe source for bone donation.

Canine Exposure

Canine exposure has nothing to do with leaving your dog outside, exposed to the elements. It is a procedure to expose impacted teeth.

An impacted tooth is one that has not erupted in the mouth, but instead becomes stuck in the surrounding bone or tissue. Any tooth may become impacted, but generally, the wisdom teeth and canine teeth are the most likely candidates.

Canine teeth are critical for function. The mouth will also appear aesthetically odd without the canines. The procedure is quite simple. It involves the dentist cutting a small hole in the gum, which allows the tooth to erupt. The dentist also uses a dental brace to guide the tooth into its correct position.

Impacted teeth are sometimes obvious to the naked eye, but in some instances, an x-ray is necessary to identify the extent of the impaction. Many times, there is an impacted canine tooth where the baby tooth remains in the mouth. A loose tooth is also a sign that an impacted tooth may be present.

Crown Lengthening

It is no secret that dentists are committed to saving teeth. This is why we fill a cavity, instead of pulling the tooth.

Cavities can decay the tooth to the point where restoration is virtually impossible without a procedure called crown lengthening. Crown lengthening is a routine surgical procedure, which remodels the contour of the gum line. The procedure does not actually lengthen the crown, but rather lowers the gum line.

When there is not enough tooth structure to affix a crown, this is the only option. Sometimes a tooth has been broken below the gum line. In this instance, crown lengthening is very successful in exposing more of the tooth, so that the dentist has something to work with.

Frenectomy

A frenulum is a piece of tissue that prevents an organ from moving. There is a frenulum that attaches your upper lip to the gums, while another connects the lower lip to the gums. A frenulum that is too short or thick will cause problems in speech patterns and tooth misalignment. In infants, a shortened frenulum underneath the tongue will inhibit breastfeeding. When the frenulum disrupts movement, growth, or development, corrective action is necessary to resolve the situation.

A frenectomy is a minor surgical procedure that is performed in your dentist’s office. It can be performed with either a scalpel or laser and takes less than 15 minutes. Using a laser causes very little bleeding and does not require stitches. A laser also results in less postoperative discomfort and a shorter healing time. Young children and infants are put under general anesthesia for the procedure, while adults have the procedure performed using local anesthesia.

If your child needs a frenectomy, there is nothing to worry about. The procedure is very successful and causes minimal discomfort.

Gum Grafting

Gingivitis and, in its advanced state, Periodontics, can have a profound effect on the gums. As gingivitis progresses, bacteria and plaque buildup cause the gums to stretch, resulting in large pockets. Once cleaned, these pockets remain on the gum line and lead to gum recession, exposing an abnormal amount of tooth structure and creating an aesthetically unpleasing appearance.

Gum grafting is a corrective procedure designed to restore the gums to their natural, healthy state. This procedure involves using soft tissue from the roof of the mouth to graft onto the receded gums. The primary goal is to cover exposed tooth and root surfaces with grafted tissue, encouraging new tissue growth that helps the gums return to their original position around the teeth.

The procedure is routine, with minimal downtime and discomfort, and is an effective way to enhance oral health and improve the appearance of the gums.

Occlusal Adjustment

Do you wake up in the morning with sore jaws? When you bite, does your jaw feel lopsided? If so, you may benefit from an occlusal adjustment.

An occlusal adjustment corrects the alignment of the bite, which can be affected by loose, shifting, crowded, or missing teeth. The result is an evenly distributed bite that eliminates irregular pressure on one side of the mouth. Once your bite is adjusted, your teeth will meet properly. This procedure involves minimal pain and only a little discomfort. The adjustment is performed using a dental drill with a fine filing stone. Additionally, removable mouthpieces may be used to protect the tooth surface and relax the jaw muscles after the adjustment is completed.

Who is a good candidate for an occlusal adjustment? Patients with loose or shifting teeth often experience bite misalignment. Individuals who grind or clench their teeth frequently have uneven bite pressure, which can be corrected with an occlusal adjustment. In some cases, tooth sensitivity caused by uneven pressure can also be resolved through this treatment.

Advanced technology now allows dentists to accurately identify areas that require adjustment. Using a computer scan of the mouth, dentists can record hundreds of bite registrations per minute and detect even the slightest irregularity. This data ensures that only the necessary adjustments are made, resulting in a well-aligned bite and minimal tooth wear.

If you suspect you may need an occlusal adjustment, schedule an appointment today.

Periodontal Splinting

Loose teeth can be incredibly uncomfortable, especially when trying to eat food or chew gum. The sensation of the tooth pulling away from the gum is enough to send chills down your spine. It often feels like an eternity, waiting for the tooth to either become loose enough to be extracted or strong enough to no longer be a problem.

Teeth become loose for various reasons, including lost gum tissue, injury, orthodontic treatment, or pressure caused by tooth misalignment. A modern technique called periodontal splinting can help by attaching weak teeth together, turning them into a single unit that is stable and stronger than individual teeth alone. This procedure is most commonly performed on the front teeth.

The process involves using composite material to attach or “splint” the loose teeth to adjacent stable teeth, providing added strength and stability. Tooth splinting has become a popular and effective treatment for loose teeth.

Don’t live with loose teeth any longer. Contact our office today for a consultation.

Osseous Surgery

Osseous surgery is a procedure that reshapes the bone that holds your teeth in place, commonly used to treat Periodontics. Periodontics can cause defects in the bone around the teeth, and osseous surgery helps to remove those defects and restore the bone structure.

Before undergoing osseous surgery, patients typically receive periodontal treatment, including scaling and root planing, to clean the teeth and gums. A local anesthetic is administered to minimize discomfort during the procedure.

After cleaning the roots, the dentist uses a drill and sharp dental tools to reshape the bone surrounding the teeth. If the bone defects are significant, bone grafting material may be used to fill in areas that cannot be addressed by reshaping alone. Once the bone is properly reshaped, the gums are stitched back into place.

Osseous surgery is a routine procedure with a high success rate and is an effective treatment option for patients with advanced Periodontics.

Cosmetic Periodontal Surgery

Your smile is often the first thing someone notices about you, and people often form their first impression based on the appearance of your smile. In the past, unless you had significant financial resources or naturally perfect teeth, you had to live with your smile. However, today there are a variety of cosmetic procedures available to help improve your smile at an affordable cost.

If you have a gummy smile, uneven gum line, or elongated teeth, cosmetic periodontal surgery may be the right solution for you. This procedure sculpts the gum line to ensure it is even and in proportion to the amount of exposed tooth and gum.

Cosmetic periodontal surgery involves removing excess gum tissue to expose more of the tooth crown. If your gums have receded and your teeth appear overly long, soft tissue grafts can be used to extend the gum line and create a balanced, aesthetically pleasing appearance. These grafts also help reduce gum pockets, which are prone to future periodontal disease.

If you’re not satisfied with your smile, give us a call to discuss your options. After all, you only have one chance to make a first impression.

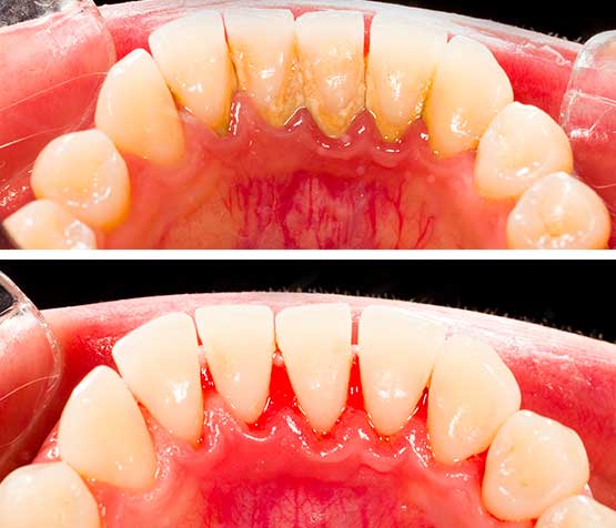
Periodontal (Gum) Disease

Periodontal (gum) disease is insidious. It begins as an infection of the gums, starting with plaque—an opaque film that forms on the teeth and hardens into tartar. As tartar builds up, it becomes a breeding ground for bacteria that attack the soft tissue around the gums. This early stage of gum disease is called Gingivitis.

If left untreated, Gingivitis progresses into Periodontitis, a more severe form of the disease that destroys both the tissue surrounding your teeth and the bone that holds them in place. In the early stages, gum disease can be silent, with very few obvious warning signs aside from bad breath and bleeding gums. The disease often progresses without pain, and before you realize it, you may begin losing teeth without understanding why.

Tooth loss is only the most obvious symptom of gum disease. Scientific research has also found connections between gum disease and serious health conditions such as stroke, heart disease, diabetes, and even an increased risk for pregnant women. When your gums are diseased, your entire immune system is compromised.

In the past, the fear of painful dental surgery kept many people from seeking care for gum disease. However, those days are now behind us.

Gingivitis

Gingivitis is a generative disease that, if left untreated, can lead to significant tooth and gum deterioration. Just hearing the word “gingivitis” can cause panic in some patients. The reality, however, is that the treatment is simple and is performed right in your dentist’s office.

Plaque and tartar that sit on the teeth create an environment where bacteria can thrive and multiply. These bacteria cause the gums to become inflamed and bleed, especially noticeable when you brush your teeth or sometimes when you eat. These are early signs of gingivitis. Fortunately, gingivitis is easily treated by having a hygienist scale and polish the teeth.

If left untreated, gingivitis will progress, and the roots will require planing. The difference between scaling and root planing is simple: scaling removes the dental tartar from the tooth surface, while root planing smooths the root surfaces and removes any infected tooth structure.

Scaling and root planing are non-surgical procedures, typically performed without anesthesia in the dentist’s office. While the procedure is usually painless, more advanced stages of gingivitis may require numbing the area for complete comfort. Deep scaling and root planing is often done one section of the mouth per appointment to allow for proper healing and minimize appointment time.

Tooth loss is the most obvious sign of gum disease, but scientific research has also linked gum disease to serious health conditions such as stroke, heart disease, diabetes, and even an increased risk for pregnant women. When your gums become diseased, your entire immune system is compromised.

In the past, the fear of painful dental surgery kept many people from seeking care for gum disease. However, those days are now behind us.

Pocket Reduction Surgery

Sometimes, the effects of periodontal disease create permanent changes in the tooth and gum structure that can cause future issues. Enlarged gum pockets between the tooth and the gum line are common after advanced gum disease. While these gaps can be cosmetic and affect the appearance of the gums, they are more commonly a concern because they create spaces where plaque and bacteria can accumulate, putting the teeth at future risk for tooth and gum disease.

Pocket reduction surgery is designed to address the aftereffects of periodontal disease and restore your mouth to a healthier state.

The goal of periodontal surgery is to access the tooth root and clean the damaged areas. Once the dentist can clearly see the damage, it can be removed completely. This involves removing plaque and decayed gum tissue, leaving a pocket between the gum and the tooth. In some cases, the gum returns to its original position, but the pocket may still remain. This pocket will require more frequent cleanings, as regular brushing and flossing will not effectively reach it.

Once the swelling from the periodontal treatment has subsided, the dentist may need to suture the gum to the point where the bone has resorbed. The goal is to create a space that is large enough to be cleaned through daily oral hygiene but small enough that it doesn’t become a breeding ground for plaque and bacteria.

Soft Tissue Graft

A soft tissue graft is used when there has been significant gum recession in a specific area. While slight gum recession can often be corrected with improvements to your oral hygiene routine, more advanced recession exposes you to a greater risk for infection and bacterial penetration. Receding gums can make you more sensitive to hot and cold foods, and if the recession is severe enough to expose the tooth root, it can lead to more serious complications. The root is softer than the enamel, making it more vulnerable to bacteria and plaque buildup.

To restore the proper gum level and functionality, a soft tissue graft can be performed. This procedure involves either removing soft tissue from the roof of the mouth or repositioning healthy gum tissue from adjacent teeth. It is a highly predictable procedure with a high success rate.

It is recommended to undergo this procedure before more serious issues arise, potentially requiring periodontal surgery in the future.